SECONDA CLASSE affollamento SEVERO



Galleria immagini


Approfondimenti del caso

PIANO DI CURE

TELERADIOGRAFIA LATERALE DEL CRANIO. 26/10/2019.
Il ragazzo presenta una molocclusione di seconda classe scheletrica. É un soggetto iperdivergente con tipologia di crescita iperdivergente, l'incisivo superiore è vestiboloposto e vestiboloinclinato, l'incisivo inferiore è linguoposto e linguoinclinato.

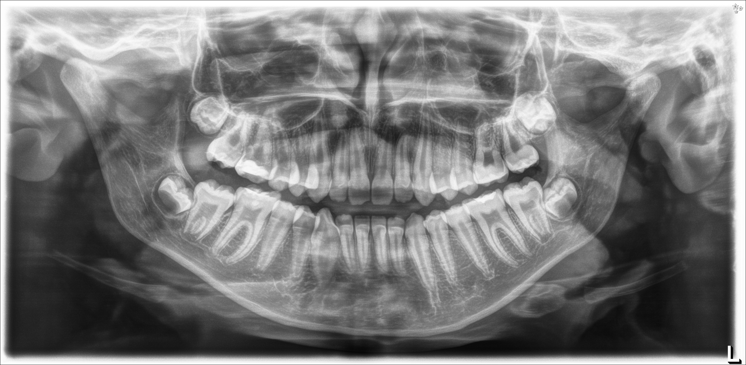
ORTOPANTOMOGRAFIA
Sono presenti tutti i denti, compresi i germi dei denti del giudizio.

MODELLI
Malocclusione dentale di seconda classe a destra e a sinistra.
Curva di SPee accentuata. Overjet molto aumentato.
Le linee mediane sono leggermente deviate.

PIANO DI LAVORO
Modellare correttamente le cuspidi sul primo molare superiore destro, scavare la fossa centrale nel primo molare inferiore destro (aiutarsi con un gig preso in prima classe) per dare una buona intercuspidazione che possa tornare in prima classe.

Twin block (apparecchio mobile composto da due placche, unoa superiore e una inferiore) per portare la mandibola avanti, correggere la malocclusione di seconda classe e l'overjet poi rivalutazione per eventuale apparecchio fisso.


FOTO DEL SORRISO PRIMA E DOPO IL TRATTAMENTO ORTODONTICO


OTP

L'Otp è la radiografia della bocca del paziente. L'immagine qui sotto descrive la complessità del trattamento.


TELECRANIO

La radiografia che riprende il cranio del paziente di lato viene chiamata dagli specialisti TELECRANIO. Risulta necessaria in alcuni casi per una corretta diagnosi e per lo studio del caso clinico.



Hai dubbi sul tuo sorriso?

La Dott.ssa Francesca La Scala può valutare la tua situazione con una visita ortodontica personalizzata.

Chiama ora: 347 9540916